Intraoral Dental Imaging
Get in touch with us in 4 simple ways
Oxnard Dentist
Welcome to Channel Islands Family Dental
What are
Intraoral Dental Imaging
To get more accurate diagnoses, intraoral dental imaging is often necessary. The mouth is a small space, and sometimes a clinical exam alone is not enough to see all its structures.
Thanks to advanced technology, dentists in Oxnard can now get fast and precise information to diagnose dental problems and create the right treatment plan for each patient.
Types of intraoral dental imaging in Oxnard
Intraoral dental imaging includes different tools such as photographs, dental X-rays, and digital scans.
These tools allow dentists in Oxnard to see the internal and external structures of the mouth in detail, helping them make more accurate diagnoses and better treatment plans.
Dental photographs
Intraoral dental photographs are mainly used in treatments such as orthodontics and dentures. They help to:
- Evaluate the patient’s initial condition
- Compare before and after treatment results
- Visually and clearly document progress and outcomes
Dental X-rays
Dental X-rays are divided into intraoral and extraoral X-rays. They are essential to see structures that cannot be seen with the naked eye, such as roots, bones, and supporting tissues.
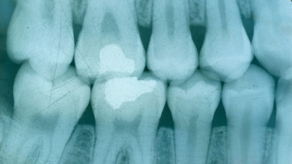
Periapical X-ray
- Also known as the traditional dental X-ray, it shows the entire tooth, from the root to the visible crown. It helps evaluate:
- The condition of the tooth and its supporting structures
- The progress of tooth decay
- Pulp involvement
- Presence of infections or fractures
- Periodontal diseases
Bitewing (interproximal) X-ray
- This X-ray is similar in size to a periapical X-ray but uses a different technique. It focuses on the crown area of the teeth and is ideal for:
- Detecting cavities between teeth that are hard to see during a clinical exam
- Evaluating the health of supporting structures such as gums and bone
Occlusal X-ray
- This X-ray is larger than a periapical X-ray and is taken while the patient bites on the radiographic plate. It helps evaluate:
- The position of teeth that have not erupted yet
- Teeth in abnormal positions
Popular Service
Our Oxnard Office
Intraoral Dental Imaging
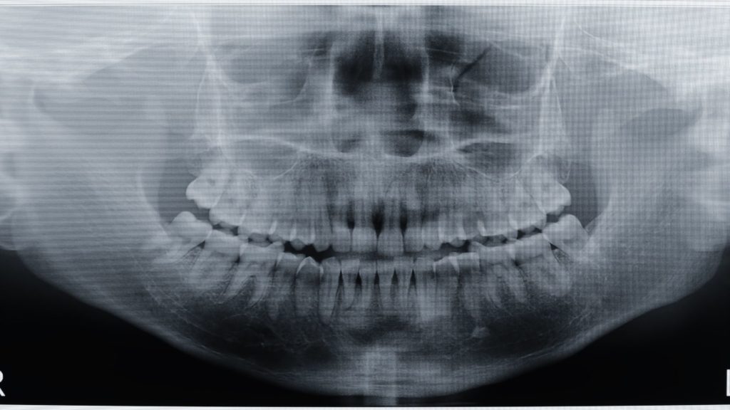
Extraoral X-rays
In some cases, extraoral X-rays are used, such as panoramic X-rays, which show all facial structures related to the mouth, or Cone Beam Computed Tomography (CBCT), which provides 3D images of the mouth, upper jaw, and lower jaw. These images are ideal for:
- Evaluating fractures
- Analyzing infections
- Reviewing periodontal diseases
- Planning complex treatments
All these techniques are safe and follow radiation exposure standards set by the American Dental Association (ADA) and the World Health Organization (WHO).
Intraoral scanner
The intraoral scanner is a modern technology that allows dentists to view 3D images of teeth and oral tissues on a computer. It is mainly used to:
- Design crowns, dentures, and other dental treatments
- Create more precise digital models
- Reduce treatment time
- Improve patient comfort by replacing traditional dental impressions
Get in touch with us in 4 simple ways
Who needs intraoral dental imaging?
Intraoral dental imaging can be necessary for any patient who needs a dental evaluation or treatment, as it allows dentists to make a more accurate diagnosis. It is especially useful for:
- Patients with dental pain or sensitivity
- People who need evaluation of hard-to-detect cavities
- Patients with infections, fractures, or periodontal problems
- Those who need treatment planning for crowns, implants, or orthodontics
At Channel Islands Family Dental Office, our dentists in Oxnard use this technology to make sure every diagnosis and treatment is safe, fast, and effective, always focused on your comfort and oral health.
New Patient Special In Oxnard
New Patient Special In Oxnard
Get your first dental exam and X-ray for only $99 at Channel Islands Family Dental!
Get your first dental exam and X-ray for only $99 at Channel Islands Family Dental!

Benefits of intraoral dental imaging in Oxnard
- Faster and more accurate diagnosis
- Better planned and personalized treatments
- Greater comfort during evaluation
- Complete evaluation of teeth, bones, and supporting tissues
- Safety supported by the American Dental Association (ADA)
Possible disadvantages
- Minimal radiation exposure, very low and safe according to the ADA
- Some X-rays may feel slightly uncomfortable for patients with small mouths or sensitivity, but our dental team handles this with care and attention
Intraoral Dental Imaging
At Channel Islands Family Dental Office, your smile matters. Our dentists in Oxnard use modern technology and a friendly approach to provide clear diagnoses and dental care you can trust.
Schedule your appointment today and let us take care of your oral health.
Financing Options
Payment plans as low as 99/month (*on approved credit)
Our Location
We have the experience and expertise to deliver high quality dental specialty care. Contact us today with your dental questions or to schedule your appointment.